Publicado por ICSEB el 21 diciembre, 2020
En las actuales circunstancias marcadas por la pandemia de la Covid-19, son muchas las dudas que pueden surgir. Entre ellas, pacientes y familiares se preguntan si las personas con Enfermedad del filum forman parte del grupo de riesgo de la COVID-19.
Desde el Institut Chiari & Siringomielia & Escoliosis de Barcelona deseamos trasladarles la información más relevante y pertinente que tenemos al respecto, con el propósito de intentar responder y quizás solucionar sus dudas.
La COVID-19 es una nueva enfermedad que se comporta de forma muy variable, sin que sepamos los factores o circunstancias que la hacen ser inocua o mortal.
Los investigadores y profesionales de la Medicina intentan conocerlo todo sobre la COVID-19, tanto en lo referente al virus SARS CoV2 como respecto del huésped humano, que hace su unión tan mortífera para algunos.
Uno de los primeros artículos científicos que ahondan sobre la gravedad de la COVID-19, es el de Zsuzsanna Varga de Zurich (Suiza) en The Lancet1 del 17 de abril del 2020, que afirma la existencia de una afectación inflamatoria de la capa más interna de los vasos sanguíneos -el endotelio- de diversos órganos vitales; como corazón, encéfalo y riñones. Actualmente hay 1680 artículos referidos a la endotelitis por COVID-19 en general, y 822 artículos sobre la afectación cerebral por COVID-19.

FIG 1. Lesiones isquémicas difusas de la sustancia blanca profunda. La difusión por RM (se basa en la detección en el vivo del movimiento de moléculas de agua) en un paciente con COVID-19, muestra numerosas lesiones isquémicas focales dentro de la sustancia blanca profunda hemisférica (A, flecha blanca), el cuerpo calloso (A, flecha roja), los ganglios basales, los pedúnculos cerebelosos medios y los hemisferios cerebelosos (B, flechas blancas)2.
Esa inflamación que aparece en el endotelio del cerebro en los casos graves de la COVID-19(Fig.1), puede generar en muchos pacientes la sensación de «niebla mental», es decir, un tipo de afectación neurológica que se observa tanto en pacientes graves como leves. Se trata de una de las secuelas a largo plazo de la COVID-19, que cada vez más personas refieren haber sufrido o seguir sufriendo, con consecuencias importantes para su calidad de vida.
La «niebla mental», que incluye trastornos de memoria, de concentración, dificultad para hablar y nominar, confusión, mareos, fatiga, etc., puede agravarse en algunos pacientes con otras lesiones cerebrales que la favorecen o la predisponen; en forma de inflamación sobreañadida o de accidentes vasculares cerebrales.
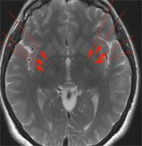
Nuestro equipo médico y de investigadores ha descrito una nueva enfermedad, la Enfermedad del Filum, en la que se ha observado, entre otras, una afectación difusa de la circulación sanguínea cerebral, de predominio en zonas de la sustancia blanca (Figura 2) 3.

FIG 2. Lesiones isquémicas difusas de la sustancia blanca profunda.RM en un paciente con Enfermedad del Filum muestra numerosas lesiones isquémicas focales dentro de la sustancia blanca profunda hemisférica, los ganglios basales (flechas rojas), que desaparecieron tras la intervención.
Podemos suponer que la predisposición a otras lesiones cerebrales a raíz de la endotelitis puede agravar o aumentar las secuelas en los pacientes que padecen, a la vez, la COVID-19 y la Enfermedad del Filum.
Sabemos que esa predisposición inflamatoria cerebral de la Enfermedad del Filum, desaparece con el tratamiento quirúrgico propuesto para ella, por lo que puede ser recomendable su pronto diagnóstico y tratamiento adecuado.
Hay una problemática añadida: la Enfermedad del Filum, al ser una enfermedad de reciente descripción, de difícil diagnóstico y, al parecer, de una muy extensa incidencia a nivel mundial, es poco probable que se tenga en cuenta asociada a la COVID-19.
Bibliografía
- ZsuzsannaVarga , Andreas J Flammer , Peter Steiger , Martina Haberecker , Rea Andermatt , Annelies S Zinkernagel , Mandeep R Mehra , Reto A Schuepbach , Frank Ruschitzka , Holger Moch. Endothelial cell infection and endotheliitis in COVID-19. Case Reports. Lancet. 2020 May 2;395(10234):1417-1418.
- R Hanafi, P-A Roger, B Perin, G Kuchcinski, N Deleval, F Dallery, D Michel, L Hacein-Bey, J-P Pruvo, O Outteryck, J-M Constans. COVID-19 Neurologic Complication with CNS Vasculitis-Like Pattern. AJNR Am J Neuroradiol. 2020 Aug;41(8):1384-1387. doi: 10.3174/ajnr.A6651.
- The Filum disease and the Neuro-Cranio-vertebral syndrome: definition, clinical picture and imaging features. BMC Neurology 2020, May 15. 20:175. https://rdcu.be/b36Pi.