Published by ICSEB at 21/12/2020
코로나19 팬데믹 시대를 지나고 있는 현재, 많은 의문이 생길 수 있습니다. 그 예로 적지 않은 환자와 보호자분이 종사 질병이 코로나19의 고위험군에 포함되는지 궁금해합니다.
이에 관련하여 바르셀로나 키아리 & 척수공동증 & 척추측만증 연구소에서는 환자분들의 궁금증이 해소될 수 있도록 가장 유용한 정보를 전달하고자 합니다.
코로나19는 다양한 증상으로 나타나는 새로운 병이며 아직 사망이나 인체에 해를 끼치지 않는 환경 또는 인자는 정확히 밝혀지지 않았습니다.
여러 전문가가 포유류와 인간에게 미치는 영향을 포함한 코로나 바이러스, SARS-CoV-2를 전 방면으로 연구하고 있습니다.
스위스 취리히 Zsuzsanna Varga의 2020년 4월 17일자 The Lancet(랜싯)1 에 실린 연구는 코로나19의 심각성을 깊이 들여다본 초기 연구 중 하나입니다. 연구팀은 심장, 뇌, 콩팥과 같은 중요 장기의 혈관 가장 안 쪽 내피세포(endothelium)에 염증 징후가 있다는 걸 확인했습니다. 현재까지 코로나19의 내피염 관련 논문은 1680여개, 코로나19가 뇌에 미치는 영향에 관한 연구는 822여개가 있습니다.

그림 1. 뇌 백색질의 광범위 허혈 병변. 코로나19 환자의 MRI diffusion에서 (인체 내 물 분자의 움직임에 기반) 뇌 반구 백색질 내(A, 흰색 화살표), 뇌량(B, 적색 화살표), 대뇌핵, 중소뇌각, 소뇌 반구 내(B, 흰색 화살표)2다수의 허혈 병변을 볼 수 있다.
코로나19 중증 사례에서 보여지는 뇌 내피세포 염증은 많은 사례에서 “머리가 멍해지는” 느낌을 유발할 수 있습니다. 이런 신경학적 증상은 경증 환자나 중증 환자 모두에게서 관찰되고 있습니다. 코로나19의 장기 후유증의 하나로 점점 더 많은 환자가 이 증상을 이전에 경험했거나 아직도 경험하고 있어 삶의 질에 영향을 미치는 정도라고 말하고 있습니다.
“브레인포그”는 기억력 장애, 집중력 장애, 말하기 어려움, 단어 이름이 잘 생각나지 않음, 어지럼증, 만성 피로 등을 포함합니다. 코로나19에 더 취약한 뇌 병변 환자의 경우 염증이 더해지거나 뇌졸중의 형태로 더 악화할 수 있습니다.
한편 본 연구소 의료진과 연구팀은 새로운 질병, 종사 질병(Filum Disease)를 정의하였는데 해당 사례들에서 광범위한, 특히 백색질에서의 뇌 혈류 장애를 관찰했습니다.(그림 2)3.

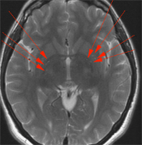
그림 2. 뇌 백색질의 광범위 허혈 병변. 종사 질병 환자의 MRI에서 뇌 반구 백색질 내, 대뇌핵(적색 화살표) 내 다수의 허혈 병변을 볼 수 있다. 이는 수술 후 사라졌다.
우리는 내피염으로 인한 뇌 병변 소인이 코로나19와 종사 질병을 동시에 앓는 환자들의 후유증을 악화시킬 수 있음을 추정할 수 있습니다.
종사 질병의 뇌 염증 소인은 외과 수술로 제거될 수 있어, 빠른 진단과 적합한 치료 적용이 추천됩니다.
여기서 한 가지 추가되는 어려움은, 종사 질병은 최근 정의된 비교적 새로운 질병임과 동시에 진단이 어려운 병이라 코로나19와 연관지어 고려되고 있지 않습니다.