Última actualización: 27/03/2019, Dr. Miguel B. Royo Salvador, Numero colegiado 10389. Neurocirujano y Neurólogo.
Definició
En general, la malaltia cerebrovascular és una definició que s’utilitza per a descriure un grup heterogeni de condicions patològiques de les quals la característica comuna és la disfunció focal del teixit cerebral, per un desequilibri entre l’aportació i els requeriments d’oxigen i altres substrats. Defineix el procés de manera general, sigui agut o crònic, isquèmic o hemorràgic.
El 1987, Hachinski va introduir el concepte de Leucoaraiosi (del grec leuko = blanc i araios = rarefacció) per referir-se a una alteració en les imatges de la Tomografia Computada i de la Ressonància Nuclear Magnètica (RMN) cerebral en la substància blanca dels hemisferis cerebrals. Les lesions poden ser punctiformes o més extenses, focals o difoses. Amb aquest terme no va proposar cap correlació clínica o patològica, tan sols va donar nom a unes imatges anormals relativament freqüents. Es tracta per tant d’un terme de neuroimatge descriptiu que pot associar-se a diferents situacions clíniques i patològiques, i heterogeni perquè inclou diversos tipus d’alteracions morfològiques.
La substància blanca rep la seva aportació sanguínia d’un complex sistema de microvasculació cerebral, format per petites arterioles penetrants que sorgeixen de les principals artèries cerebrals, formant angles rectes. Es tracta d’artèries terminals que són de gran longitud i mida petita. A causa d’això, la substància blanca al voltant dels ventricles (periventricular) es converteix en una zona de vascularització limítrof, el que la fa particularment susceptible a patir lesions per isquèmia. L’afectació d’aquestes arterioles, en les que s’origina un estretament i disminució de la llum arterial, produiria una disminució de l’aportació sanguínia, que de manera crònica seria la responsable de la presència de la leucoaraiosi.
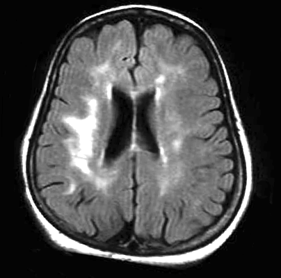
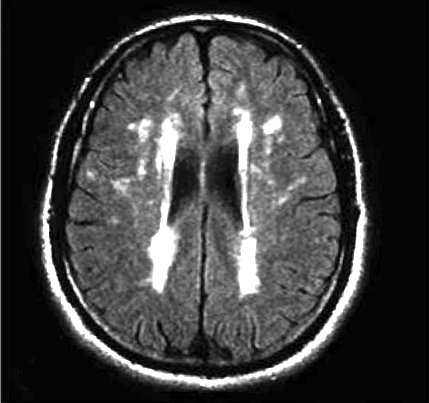
La progressió de la leucoaraiosi tendeix a seguir un patró general. Inicialment s’observen les lesions periventriculars a la zona del marge (barrets) dels ventricles laterals (Fig. 1) estenent-se, en relació amb la severitat del fenomen, al voltant d’ells (Fig. 2).
Graus i símptomes
Malgrat ser un concepte descriptiu, la Leucoaraiosi no comporta símptomes en sí mateixa, però els seus diversos graus de neuroimatge s’associen a diversos quadres simptomatològics correlatius.
En general, els símptomes associats en certa mesura a qualsevol dels seus graus, poden ser: ictus isquèmic, trastorns cognitius, claudicació de la marxa, alteracions anímiques i dels esfínters.
Els graus de Leucoaraoiosi van des del grau 0 al III:
els graus 0 i I són lleus i sense una correspondència reconeguda amb símptomes específics.
El grau II, i molt més el III, són greus, es consideren com la leucoaraiosi que més afectació produeix en la substància blanca del teixit cerebral i danya a ambdós hemisferis cerebrals, amb lesions disperses en àmplies zones del cervell; és una malaltia que es torna progressiva. Es detecta sobretot en les persones amb algun trastorn mental, i en aquelles que pateixen malalties associades a danys neurològics o amb símptomes de demència.
Diagnòstic
Tal com hem esmentat, la Leucoaraiosi es refereix a unes alteracions que es poden detectar mitjançant les imatges de la Tomografia Axial Computada (TAC) i per Ressonància Nuclear Magnètica (RM) cerebral, que consisteixen en zones d’hipodensitat o d’hiperintensitat, respectivament.
Entre les dues, la Imatge per RM de l’encèfal (IRM) que inclou seqüències ponderades en T2 i FLAIR, és la tècnica més estesa en la valoració de la Leucoaraiosi.
L’escala qualitativa de Fazekas (Fig. 3) és la més utilitzada per determinar la magnitud de les lesions de la substància blanca en IRM, classificant:
– Grau 0: absència de lesió;
– Grau 1: existència de lesions focals;
– Grau 2: inici de la confluència de lesions;
– Grau 3: lesions difuses que comprenen regions senceres.
– Segons el Filum System®:
Al nostre centre detectem sovint la presència d’imatges de Leucoaraiosi de la substància blanca en les seqüències axials en T2 de RM, especialment de grau 1 i rarament del 2, en pacients diagnosticats de patologies del conjunt de la Malaltia del Filum o Síndrome Neuro-Cranio-Vertebral – almenys en el 45% de la nostra base de dades i en totes les franges d’edat-.
Causes
Actualment, la patogènesi de la Leucoaraiosi és controvertida.
Alguns autors recorden que encara no està clar si els mecanismes que produeixen els focus punctiformes isquèmics són els mateixos que generen la Leucoaraiosi difosa estesa. A més a més, es desconeix si els canvis patològics associats són la causa o la conseqüència de les lesions de la substància blanca.
Les dues hipòtesis principals es refereixen a: les anomalies del flux d’autoregulació de la sang o a la fallada de la barrera hemato-encefàlica.
El mecanisme de producció més reconegut actualment, quant a la causa de Leucoaraiosi, és la isquèmia crònica per afectació de les artèries perforants.
La hipertensió arterial i altres patologies que afecten el flux sanguini i a l’oxigen que aporten al cervell, semblen estar estretament relacionades amb la Leucoaraiosi greu.
– Segons el Filum System®:
Arran de l’observació de l’associació de Leucoaraiosi i focus isquèmics punctiformes, a nivell radiològic, en pacients amb la Malaltia del Filum i la Síndrome Neuro-Cranio-Vertebral, al nostre centre tenim en compte una altra hipòtesi de patogènesi: la Leucoaraiosi podria també estar relacionada amb la tracció de la medul·la espinal, exercida per un Filum Terminale massa tens, i amb la isquèmia que pot provocar en els teixits de tot el sistema nerviós en provocar el col·lapse dels vasos sanguinis de menor diàmetre.
Factors de risc
En general, per una banda, els factors de risc reconeguts per a la malaltia cerebrovascular concerneixen les característiques familiars, individuals i l’estil de vida.
Per altra banda, els principals factors de risc reconeguts per a la presència de Leucoaraiosi són l’edat i la hipertensió arterial, encara també s’associa a d’altres, com Diabetes Mellitus, malalties cardíaques o estenosis arterials, que estarien associats a alteracions en la microcirculació cerebral, el que condueix a una desmielinització d’origen vascular que podria considerar-se com l’origen dels focus isquèmics.
La Leucoaraiosi està també relacionada amb la tercera edat i amb quadres de demència senil, encara que ha arribat a ser detectada en persones relativament joves, de 40 anys, però les quals el seu consum de drogues- com l’heroïna, el tabac i l’exposició constant a elements contaminants-, les fan propenses a presentar Leucoaraiosi en qualsevol dels seus graus. També l’arteriosclerosi és un altre dels factors observats en la seva aparició.
– Segons el Filum System®:
En els pacients amb imatges de Leuroaraiosi en la substància blanca i associades a la Malaltia del Filum i la Síndrome Neuro-Cranio-Vertebral, podem observar que un factor de risc comú de les dues condicions són els antecedents familiars:
– La tracció caudal produïda per un Filum Terminale excessivament tens, que definim com Malaltia del Filum, pot causar el mecanisme de falta de rec sanguini en la medul·la espinal, així com en tot el sistema nerviós. Es tracta d’una patologia de tipus congènit, que es pot transmetre entre familiars.
Complicacions
L’entitat de la Leucoaraiosi s’associa cada vegada més amb el deteriorament cognitiu o canvis del comportament dels pacients. Les manifestacions clíniques en relació amb les funcions cognitives associades van des de l’afectació lleu fins a l’aparició de la demència, i afecten fonamentalment a la velocitat de processament cognitiu i a les funcions executives.
Tractament
Generalment, els tractaments adequats que són eficaços per aturar la progressió de Leucoaraiosi són diferents dels recomanats per a les malalties a les quals s’associa.
El tractament més indicat per alentir el seu deteriorament, sent la Leucoaraiosi progressiva, una vegada que es presenta, és mantenir una dieta equilibrada; amb una ingesta d’aliments rics en àcid fòlic, folats i vitamines del complex B i evitar substàncies tòxiques i estils de vida poc saludables.
– Segons el Filum System®:
Davant del fet que la Leucoaraiosi es presenta freqüentment en pacients afectats de la Malaltia del Filum (MF), al nostre centre, en pacients que tinguin RM encefàliques amb focus isquèmics de la substància blanca, realitzem el protocol diagnòstic del Filum System®, per detectar una possible Malaltia del Filum. Quan es confirma una tracció anòmala del Filum Terminale per MF, aleshores es procedeix al tractament de la Secció Del Filum Terminale (SFT) amb la tècnica mini-invasiva exclusiva. En diferents casos, s’ha observat la disminució de la Leucoaraiosi posterior a la SFT, avalant això encara més que una causa de la mateixa podria ser la tracció anòmala del sistema nerviós.
Referències bibliogràfiques
- John Conklin, Frank L. Silver, David J. Mikulis, Daniel M. Mandell. Are acute infarcts the cause of leukoaraiosis? Brain mapping for 16 consecutive weeks. Annals of Neurology, 2014; DOI: 10.1002/ana.24285.
- Hachinski V.C., Potter P., Merskey H: Leuko-araiosis, Arch Neurol. 1987; 44: 21-23.
- Revista Habanera de Ciencias Médicas, versión On-line ISSN 1729-519X.Rev haban cienc méd vol.12 no.3 Ciudad de La Habana jul.-set. 2013, CIENCIAS CLÍNICAS Y PATOLÓGICAS.
- Dr. Miguel B. Royo Salvador (1996), Siringomielia, escoliosis y malformación de Arnold-Chiari idiopáticas, etiología común (PDF). REV NEUROL (Barc); 24 (132): 937-959.
- Dr. Miguel B. Royo Salvador (1996), Platibasia, impresión basilar, retroceso odontoideo y kinking del tronco cerebral, etiología común con la siringomielia, escoliosis y malformación de Arnold-Chiari idiopáticas (PDF). REV NEUROL (Barc); 24 (134): 1241-1250
- Dr. Miguel B. Royo Salvador (1997), Nuevo tratamiento quirúrgico para la siringomielia, la escoliosis, la malformación de Arnold-Chiari, el kinking del tronco cerebral, el retroceso odontoideo, la impresión basilar y la platibasia idiopáticas (PDF). REV NEUROL; 25 (140): 523-530
- M. B. Royo-Salvador, J. Solé-Llenas, J. M. Doménech, and R. González-Adrio, (2005) “Results of the section of the filum terminale in 20 patients with syringomyelia, scoliosis and Chiari malformation“.(PDF). Acta Neurochir (Wien) 147: 515–523.
- M. B. Royo-Salvador (2014), “Filum System® Bibliography” (PDF).
- M. B. Royo-Salvador (2014), “Filum System® Guía Breve”.
* Imatge: http://www.radiologyassistant.nl/en/p43dbf6d16f98d/dementia-role-of-mri.html/


