minimamente invasiva e de rápida recuperação.
Atendemos em 15 idiomas
Por que escolher o Institut Chiari & Siringomielia & Escoliosis de Barcelona?
Somos um centro de saúde internacional que atende em 16 idiomas, sem sucursais, localizado em Barcelona – ESPANHA. Tratamos a causa da Síndrome de Arnold-Chiari I, da siringomielia e da escoliose idiopáticas – assim como de outras doenças relacionadas – de uma forma diferente: através de uma cirurgia minimamente invasiva, com excelentes resultados, de rápida recuperação e sem complicações relevantes.
A Orientação Diagnóstica à Distância no seu idioma é GRATUITA, para os diagnósticos incluídos na Doença do Filum.”
Somos um centro acreditado
Veja aqui as nossas acreditações de excelência médica e
os nossos certificados de Centro de Pesquisas e Desenvolvimento.
Descubra os nossos Índices de Sucesso.
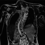
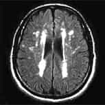
Recebeu o diagnóstico de Síndrome de Arnold Chiari I, Siringomielia idiopática ou de Escoliose idiopática?
A nossa orientação médica é gratuita para casos de DOENÇA DO FILUM e de patologias que fazem parte dela: a Síndrome de Arnold-Chiari I, a Escoliose idiopática, a Siringomielia idiopática, a Platibasia, a Invaginação Basilar, a Retroflexão do Odontóide e a Angulação do Tronco Cerebral.
Preencha o formulário abaixo para realizar uma consulta gratuita:
Precisa de ajuda? Estamos à disposição.
O Departamento de Português está à sua disposição para esclarecer todas as suas dúvidas.
Todas as consultas recebidas através deste formulário ou pelos diversos e-mails do Institut Chiari & Siringomielia & Escoliosis de Barcelona são encaminhadas à nossa equipe médica para serem avaliadas e respondidas, sob a supervisão do Dr. Miguel B. Royo Salvador.
A resposta será dada no idioma da consulta ou em inglês.
Importante: Se não receber uma resposta dentro de uma semana, fale conosco novamente por e-mail ([email protected]), ([email protected]), ([email protected]) ou telefone (+34 932 800 836).
Informe o seu nome; telefone; e-mail; país e cidade onde mora; idade; diagnóstico conhecido e a sua consulta.
Somos um centro de saúde internacional que atende em 16 idiomas, sem sucursais, localizado em Barcelona – ESPANHA. Tratamos a causa da Síndrome de Arnold-Chiari I, da siringomielia e da escoliose idiopáticas – assim como de outras doenças relacionadas – de uma forma diferente: através de uma cirurgia minimamente invasiva, com excelentes resultados, de rápida recuperação e sem complicações relevantes.
Doenças que tratamos
Quer saber se tem a Doença do Filum?
Faça este teste para receber uma orientação diagnóstica gratuita.
Quer saber se tem a Doença do Filum?
Faça este teste para receber uma orientação diagnóstica gratuita.
Últimos depoimentos
Notícias em destaque
Divulgação científica
Síndrome de Arnold Chiari I,
Escoliose e Siringomielia idiopáticas.
Doação a pacientes sem recursos para tratamentos











