Bandscheibenvorfälle und -protrusionen

Last update: 22/11/2024, Dr. med. Miguel B. Royo Salvador, Arztnummer: 10389. Neurochirurg und Neurologe. Die Zugkraft des Rückenmarks erhöht den intradiskalen Wirbeldruck, so dass die auch die Ausübung von geringen Belastungen einen vorzeitigen Riss des fibrösen Ringbandes der Bandscheiben provozieren kann. Aus diesem Grund sind Bandscheibenprotusionen und -vorfälle bei der Filum-Krankheit/Neuro-kranio-vertebralen Syndrom häufiger. Im Allgemeinen […]
Facettensyndrom oder Facettengelenksyndrom

Letzte Überarbeitung: 01/09/2023, Dr. med. Miguel B. Royo Salvador, Arztnummer: 10389. Neurochirurg und Neurologe. Definition Die Wirbelsäule besteht aus 33 Wirbeln: 7 Halswirbel, 12 Brust- oder Rückenwirbel, 5 Lendenwirbel, 5 Kreuzbeinwirbel und 4 oder 5 Steißbeinwirbel. Die Kreuzbein- und Steißbeinwirbel bilden eigenständige Knochen, die durch ein Gelenk verbunden sind. Die anderen Wirbel, mit […]
Spinale Stenose

Letzte Überarbeitung: 09/10/2018, Dr. med. Miguel B. Royo Salvador, Arztnummer: 10389. Neurochirurg und Neurologe. Der Begriff der Spinalkanalstenose bezeichnet eine verschleißbedingte Verengung des Wirbelsäulenkanals und einer hierdurch verursachten Bedrängung des darin liegenden Rückenmarkes. Die häufigste Ursache ist eine Arthrose, d.h. ein Verschleiß der Gelenke, Gelenkflächen und der Gelenkbänder. Die sich schleichend entwickelnde Instabilität der Wirbelsäule […]
Wirbelluxation

Letzte Überarbeitung: 05/03/2019, Dr. med. Miguel B. Royo Salvador, Arztnummer: 10389. Neurochirurg und Neurologe. Bei einer Wirbelluxation handelt es sich um eine Verlagerung eines Wirbels aus seiner normalen Lage. Dabei können Zwischenwirbelgelenke und Bändern zerreißen, was die normale Beweglichkeit einschränkt. In den meisten Fällen ist eine spinale Arthrodese angebracht. 16jähriger Patient weist nach einer Verletzung […]
Neuro-kranio-vertebral Syndrom aufgrund einer Luxation des Sakrokokzygealgelenk

Letzte Überarbeitung: 20/03/2026, Dr. med. Miguel B. Royo Salvador, Arztnummer: 10389. Neurochirurg und Neurologe. Diagnose Der letzte Teil der Wirbelsäule besteht aus 5 Wirbeln, die in Höhe des Kreuzbeins miteinander verschmolzen sind, und aus weiteren 3-5 Wirbeln, die in Höhe des Steißbeins miteinander verschmolzen sind. Das Sakrokokzygealgelenk befindet sich zwischen dem Kreuzbein und dem Steißbein, […]
Baastrup-Syndrom

Letzte Überarbeitung: 20/03/2026, Dr. med. Miguel B. Royo Salvador, Arztnummer: 10389. Neurochirurg und Neurologe. Definition Das Baastrup-Syndrom oder die Baastrup-Krankheit, auch als lumbale interspinöse Arthrose bezeichnet, ist ein degenerativer Prozess, der mit der Entwicklung einer Pseudoartikulation zwischen den Dornfortsätzen und dem Auftreten osteoarthritischer Phänomene einhergeht. Der Zustand wird als eine besondere Form der axialen […]
Fibromyalgie oder Fibromyalgiesyndrom

Letzte Überarbeitung: 20/03/2026, Dr. med. Miguel B. Royo Salvador, Arztnummer: 10389. Neurochirurg und Neurologe. Definition Die Fibromyalgie oder das Fibromyalgie-Syndrom tritt in der Bevölkerung mit einer Gesamthäufigkeit zwischen 1 % und 8 % auf und betrifft überwiegend das weibliche Geschlecht. Das Fibromyalgie-Syndrom gilt als primär oder idiopathisch, wenn es mit keiner anderen Erkrankung in Zusammenhang […]
Chronische-Fatigue Syndrom

Letzte Überarbeitung: 20/03/2026, Dr. med. Miguel B. Royo Salvador, Arztnummer: 10389. Neurochirurg und Neurologe. Definition Das chronische Erschöpfungssyndrom oder Chronische-Fatigue Syndrom (CFS) oder die Myalgische Enzephalomyelitis (ME) ist eine schwerwiegende Erkrankung, eine komplexe Störung von langer Dauer, die viele Systeme des Organismus beeinträchtigen kann. Kennzeichnend ist eine extreme Müdigkeit, die sich durch Ruhe nicht bessert […]
Primäre nächtliche Enuresis

Letzte Überarbeitung: 20/03/2026, Dr. med. Miguel B. Royo Salvador, Arztnummer: 10389. Neurochirurg und Neurologe. Definition Die unwillkürliche Abgabe von Urin ist ein Krankheitsbild, das durch einen drängenden und plötzlichen Harndrang gekennzeichnet ist, bei dem der Urin jedoch nicht gehalten werden kann. Dabei handelt es sich um eine Störung der Blasenfüllungsphase, die sowohl allein (primär) als […]
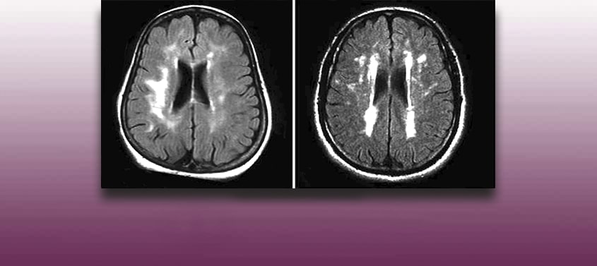
Zerebrovaskuläre Erkrankungen

Letzte Überarbeitung: 20/03/2026, Dr. med. Miguel B. Royo Salvador, Arztnummer: 10389. Neurochirurg und Neurologe. Definition Der Begriff „zerebrovaskuläre Erkrankung“ bezeichnet im Allgemeinen eine heterogene Gruppe pathologischer Zustände, denen eine fokale Funktionsstörung des Hirngewebes gemein ist, die auf ein Ungleichgewicht zwischen der Versorgung und dem Bedarf an Sauerstoff und anderen Substraten zurückzuführen ist. Er definiert den […]