Last update: 17/10/2023, Dr. med. Miguel B. Royo Salvador, Arztnummer: 10389. Neurochirurg und Neurologe.
Definition
Beim Hirnstammkinking (knickung) oder Hirnstammabwinklung handelt es sich um einen nach vorne projizierten Winkel des Hirnstamms, der zwischen dem Pons und dem Rückenmark entsteht. Diese Strukturen (Pons und Rückenmark) neigen dazu, auf der bulbomedullären Ebene einen Winkel zu bilden. Eine diskrete Abwinkelung ist bei normalen bildgebenden Untersuchungen recht häufig zu finden. Eine sehr ausgeprägte Winkelung ist jedoch nicht geläufig.
Sie geht in der Regel mit Platybasie, basilären Impression und Odontoid-Retroflexion einher, insbesondere in sehr ausgeprägten Fällen. Sie ist auch häufig mit dem Arnold-Chiari Syndrom Typ I vergesellschaftet.
Sie wird als eigenständige Fehlbildung untersucht, da sie die morphologische Auswirkung der vorgenannten kraniozervikalen Fehlbildungen auf das Nervensystem darstellen kann oder auch nicht.

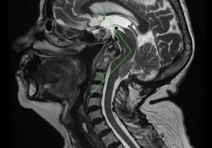
Abb. 1: Sagittale kraniozervikale MRT-Aufnahme mit Hirnstammkinking auf der Höhe des Pons und der Medulla oblongata – Rückenmark. Außerdem liegen eine Basilarinvagination, eine Odontoid-Retroflexion und ein Tiefstand der Kleinhirntonsillen vor. Hervorzuheben ist die Vergrößerung des suprazerebellären Raums, die die Traktionstheorie unterstützt und der Theorie einer Fehlbildung mit zu kleiner posteriorer Fossa widerspricht.
Symptome
Die Abwinkelung des Hirnstamms wird durch bildgebende Verfahren (MRT oder CT) diagnostiziert und geht nicht zwangsläufig mit Symptomen einher, es sei denn, sie tritt zusammen mit dem klinischen Bild der anderen häufig assoziierten Schädelfehlbildungen auf.
Magnetresonanztomographie
Die Diagnose und Beobachtung des Hirnstammkinkings erfolgt durch Bildgebung mittels Kernspintomographie (MRT), d. h. durch eine MRT-Untersuchung des Gehirns oder des Schädels (siehe Abb. 1).
Ursachen
– Nach herkömmlichen Theorien:
Hirnstammkinking wird mit verschiedenen möglichen angeborenen Ursachen in Verbindung gebracht, zum Beispiel Alpha-Dystroglykanopathien.
– Nach der Gesundheitsmethode Filum System®:
Nach der Theorie von Dr. Royo-Salvador ist die beobachtete Hirnstammabwinklung auf einen angeborenen Mechanismus der Wachstumsasychronie zwischen Rückenmark und Zentralnervensystem und der Wirbelsäule in der Embryonalphase zurückzuführen. Dies führt zu einer anormalen Zugkraft des Rückenmarks, die über das Filum terminale vom Steißbein auf den Schädel, das Rückenmark und das Gehirn übertragen wird. Die knöcherne Schädelverformung bestimmt zusammen mit der des Gehirns die Form und Intensität der Nervengewebsangulation. Je ausgeprägter die knöchernen Fehlbildungen, die durch die Traktion bestimmt werden, sind, desto ausgeprägter ist die Deformation des geknickten Hirnstamms.
Das Hirnstammkinking teilt die Ursache der übermäßigen Traktion, die durch ein übermäßig gespanntes Filum terminale hervorgerufen wird, mit dem Arnold-Chiari Syndrom Typ I, der idiopathischen Syringomyelie und der idiopathischen Skoliose sowie mit anderen vergesellschafteten Fehlbildungen des kraniozervikalen Übergangs (sie alle sind verschiedene Erscheinungsformen der Filum-Krankheit).
Risikofaktoren
Die bedeutendsten Risikofaktoren für die Entwicklung von Hirnstammkinking hängen mit der Familiengeschichte zusammen: Es handelt sich um eine angeborene Erkrankung, die zwischen Familienmitgliedern vererbt werden kann. Sie hat die gleiche genetische Inzidenz wie die Filum-Krankheit, mit einem pathologischen Mechanismus, der bei allen menschlichen Embryonen gefunden werden kann. Die klinische Manifestation hängt von der Intensität, dem Kontext und der Form der Ausprägung des mechanischen Konflikts ab.
Komplikationen
Bei der Abwinklung des Hirnstamms können die Komplikationen vom Grad der kaudalen Traktion oder dem daraus resultierenden mechanischen Konflikt im Foramen magnum abhängen. Letzterer beeinflusst das Ausmaß und die Intensität oder den Grad des Konflikts zwischen der Traktion des Rückenmarks und des Hirnstamms
- Plötzlicher Tod: kann aufgrund von Verletzungen in den kardiorespiratorischen Funktionskernen im Hirnstamm auftreten, wo der mechanische Konflikt stattfindet. Atemstörungen im Schlaf können ein Aspekt der Erkrankung sein und sich als Atemstillstand, Atemaussetzer oder sogar als plötzlicher Tod des Patienten/der Patientin äußern. Daher ist eine frühzeitige Diagnose und Behandlung so wichtig.
Behandlung
Derzeit ist die Kraniektomie oder subokzipitale Dekompression die Standardbehandlung, die in den meisten Zentren weltweit für diese Diagnose durchgeführt wird. Dies chirurgische Praxis verursacht eine höhere Morbidität und Mortalität als der natürliche Verlauf der Erkrankung selbst.
Seit der Veröffentlichung der Doktorarbeit von Dr. Royo-Salvador im Jahr 1993, in der die kaudale Traktion des gesamten Nervensystems durch das Filum terminale mit der Ursache des Hirnstammkinkings – neben anderen Krankheiten – in Verbindung gebracht wird, wurde jedoch eine neue Behandlung entwickelt. Sie ist in diesem Fall ätiologisch (ursachenbezogen), da die für den pathologischen Mechanismus verantwortliche kaudale Zugkraft des Rückenmarks durch die chirurgische Durchtrennung des Filum terminale beseitigt wird.
Die Durchtrennung des Filum terminale beseitigt die Spannung im Bereich des mechanischen Konflikts und mildert die neurologischen Verletzungen. Die Verformungen bleiben größtenteils bestehen, die traumatischen Verletzungen hingegen werden dank der Aufhebung der Zugkraft auf das gesamte Nervensystem und insbesondere im Bereich der Abwinkelung gestoppt.
Unsere Technik der Durchtrennung des Filum terminale ist minimalinvasiv und in der Regel in allen Fällen von leichter bis schwerer Symptomatik so schnell wie möglich indiziert, da die Risiken minimal sind, viel geringer als die der Erkrankung selbst, und auch das Fortschreiten der Erkrankung gestoppt wird.
Minimalinvasive Durchtrennung des Filum Terminale nach dem Filum System®:
Vorteile
1. Beseitigung der Ursache von Hirnstammkinking.
2. Ohne Bluttransfusionen. Die Operationszeit mit der minimalinvasiven Technik am ICSEB beträgt 45 Minuten. Wenige Stunden Krankenhausaufenthalt. Lokale Anästhesie. Kurze post-operative Zeit ohne Einschränkungen. Kein Aufenthalt auf der Intensivstation.
3. Die Anwendung weist eine Sterblichkeitsrate von 0 % auf, ohne dass es zu Folgeerscheinungen kommt.
4. Verbessert die Symptome der damit verbundenen Erkrankungen und stoppt das Fortschreiten des Hirnstammkinkings.
Nachteile
1. Minimale Verletzungen im Bereich des Kreuzbeins, mit den möglichen Komplikationen eines Hämatoms oder einer Infektion der Operationswunde.
2. Die Verbesserung der Spastik wird manchmal fälschlicherweise als eine Kraftverringerung interpretiert.
3. Die Verbesserung der veränderten Berührungs- und Schmerzempfindlichkeit kann fälschlicherweise als Beeinträchtigung empfunden werden.
4. Da die Durchblutung des Gehirns zunimmt, steigt auch die Gehirnaktivität, und in der ersten Zeit nach der Operation können Stimmungsschwankungen beobachtet werden.
Suboccipitale Kraniektomie:
(Dekompression des Foramen magnum)
Vorteile
1. Das Risiko eines plötzlichen Todes wird beseitigt.
2. Bei einigen Patienten*innen verbessert sich der klinische Zustand.
Nachteile
1. Die Ursache wird nicht beseitigt.
2. Die Sterblichkeitsrate liegt zwischen 0,7 und 12 %, wobei das chirurgische Risiko höher ist als die Rate des plötzlichen Todes bei dieser Erkrankung.
3. Aggressives, verstümmelndes Verfahren, das mit Folgeerscheinungen verbunden ist.
4. Sie verbessert den Zustand des Patienten nur wenig und nur für eine begrenzte Zeit (im Durchschnitt schätzungsweise 10 Jahre).
5. Je nach Lokalisation der Verletzung kann die Operation selbst neurologische Defizite verursachen: Hemiparese (Lähmung einer Körperhälfte) in 0,5 bis 2,1 %. Gesichtsfeldveränderungen 0,2 bis 1,4 %. Veränderung der Sprache: 0,4 bis 1 %. Empfindlichkeitsdefizit in 0,3 bis 1 %. Instabilität (Schwierigkeiten beim Gehen) in 10 bis 30 %.
6. Postoperative intrazerebrale Blutungen aus der Operationsstelle, epidurale oder intraparenchymale Blutungen, die ein neurologisches Defizit verursachen oder ein bereits bestehendes Defizit verstärken können, in 0,1 bis 5 %.
7. Ödem, variabel je nach Prozess und Situation, bis zu 5 %.
8. Oberflächliche tiefe oder zerebrale Infektion von 0,1 bis 6,8%, mit Bildung eines zerebralen Abszesses, aseptisch-septische Meningitis.
9. Hämodynamische Veränderungen durch die Manipulation der Hirnstammverletzungen.
10. Luftembolie (Patienten*innen in sitzender chirurgischer Position).
11. Liquorfistel oder Liquorleck 3 bis 14 %
12. Postoperativer Hydrozephalus.
13. Pneumozephalus.
14. Tetraparese (Kraftverlust in allen vier Extremitäten) aufgrund der Operationsposition; beiläufig.
Durchtrennung des Filum terminale: Resultat
Mehr als 1500 Arnold-Chiari I Patienten, mit oder ohne idiopathische Syringomyelie und/oder idiopathische Skoliose, wurden bereits nach der Filum System® Methode operiert.
Ziel des chirurgischen Eingriffs ist es, die Ursache zu beseitigen, um die Entwicklung der Krankheit und des mechanischen Konflikts – bei Hirnstammkinking insbesondere die damit verbundenen neurologischen Erscheinungen – aufzuhalten und die Lebensqualität des Patienten/der Patientin nicht zu beeinträchtigen.
Literaturnachweise
- Royo-Salvador, M.B.; Fiallos-Rivera, M.V.; Salca, H.C.; Ollé-Fortuny, G. (2020), The Filum disease and the Neuro-Craniovertebral syndrome: definition, clinical picture and imaging features, 20:175, BMC Neurology
- Royo-Salvador M.B. (1996), Platibasia, impresión basilar, retroceso odontoideo y kinking del tronco cerebral, etiología común con la siringomielia, escoliosis y malformación de Arnold-Chiari idiopáticas (PDF). REV NEUROL (Barc); 24 (134): 1241-1250
- Royo-Salvador M.B. (1997), Nuevo tratamiento quirúrgico para la siringomielia, la escoliosis, la malformación de Arnold-Chiari, el kinking del tronco cerebral, el retroceso odontoideo, la impresión basilar y la platibasia idiopáticas (PDF). REV NEUROL; 25 (140): 523-530
- Royo-Salvador M.B., Solé-Llenas J., Doménech J.M., González-Adrio R. (2005) „Results of the section of the filum terminale in 20 patients with syringomyelia, scoliosis and Chiari malformation„.(PDF). Acta Neurochir (Wien) 147: 515–523.
Filum-Krankheit
Dr. Royo-Salvador hat mit seiner Forschungs- und Doktorarbeit (1992) die Theorie bewiesen, dass mehrere Krankheiten unbekannter Ursache (Arnold-Chiari Syndrom Typ I, idiopathische Syringomyelie, idiopathische Skoliose, Platybasie, Basilarinvagination, Dorsalverlagerung des Densa Axis, Hirnstamm-Kinking und andere) als Teil eines neuen Krankheitskonzepts (die Filum-Krankheit) betrachtet werden und dass sie eine gemeinsame Ursache haben (Zugkraft auf das Rückenmark und das gesamte Nervensystem).
Die Zugkraft des gesamten Nervensystems bei der Filum-Krankheit tritt bei allen menschlichen Embryonen auf, so dass sie alle mehr oder weniger stark unter den Folgen leiden, die sich auf unterschiedliche Weise und in unterschiedlicher Intensität manifestieren.
Andere Krankheiten wie Bandscheibenvorfälle, einige zerebrale Gefäßinsuffizienzsyndrome, Facettengelenks- und Baastrup-Syndrome, Fibromyalgie, chronische Müdigkeit, nächtliches Einnässen, Harninkontinenz und ausgeprägte Querschnittslähmung sind aufgrund ihrer Ursache mit der Filum-Krankheit verwandt.
Eine Gesundheitsmethode, das Filum System®, wurde entwickelt, um die Diagnose zu präzisieren und eine Anleitung für die Behandlung und die Nachsorge zu geben: das Filum System®.