Doença do Filum

Última atualização: 19/03/2026, Dr. Miguel B. Royo Salvador, número de registro médico: 10389. Neurocirurgião e Neurologista.

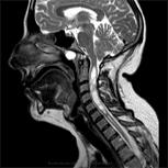
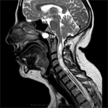
A Doença do Filum é a forma congênita da Síndrome Neuro-Crânio-Vertebral, que consiste em uma tração anormal, causada por um ligamento denominado Filum terminale, que está aparentemente normal. Tal tração afeta todo o sistema nervoso central, ante um crescimento desajustado entre a coluna vertebral e a medula espinhal.

Segundo as nossas pesquisas, esta força de tração, que o ligamento Filum terminale transmite a todo o sistema nervoso, pode se manifestar por meio de várias patologias ou doenças conhecidas, tais como: Síndrome de Arnold Chiari I, Siringomielia e Escoliose idiopáticas, Platibasia, Invaginação Basilar, Retroflexão do Odontóide e Angulação do tronco cerebral. Além disso, influi no aparecimento de outras, como: protrusões e hérnias de disco vertebrais, luxações vertebrais, estenose do canal vertebral, doença cerebrovascular, síndrome da faceta articular vertebral, síndrome de Baastrup, Fibromialgia, síndrome de fadiga crônica e enurese noturna.

A Doença do Filum se manifesta, em cada caso, com um quadro clínico distinto, com sintomas correspondentes a lesões ou malformações provocadas pelo mecanismo de tração anômala – na medula espinhal, no tronco cerebral, no crânio e na coluna vertebral. Estes sintomas podem ser os seguintes: cefaleia, náuseas, vômitos, dificuldade para engolir, vertigem, perda de memória, dores nas colunas cervical, dorsal e/ou lombar, parestesias, sensibilidade táctil ou térmica alterada, dor e/ou falta de força nos membros, falta de equilíbrio, insônia, dificuldades para caminhar, entre muitos outros. Devido a esta diversidade de sintomas, existe uma grande dificuldade de diagnosticar e compreender esta doença.

Por ser congênita, a Doença do Filum é, aparentemente, hereditária, podendo, portanto, afetar a mais pessoas de uma mesma família. Este aspecto hereditário se refere à magnitude e à forma de expressão do conflito mecânico entre o neuro-eixo e o neuro-ráquis, conflito este que se apresenta em todos os embriões humanos.

O Institut Chiari & Siringomielia & Escoliosis de Barcelona (ICSEB) desenvolveu, com as suas pesquisas, o método médico Filum System® (FS®), que facilita o complexo diagnóstico da Doença do Filum, com as suas múltiplas consequências. Além disso, o FS® possibilita a orientação de um tratamento médico, fisioterapêutico e cirúrgico adequado, mediante técnicas cirúrgicas minimamente invasivas, o que permite a recuperação das lesões reversíveis do sistema nervoso e, em alguns casos, as mudanças anatômicas favoráveis desejadas, tais como: o desaparecimento da cavidade siringomiélica, a subida das amígdalas cerebelosas, a retificação parcial ou total da coluna vertebral ou a diminuição das discopatias vertebrais.

Quer saber se tem a Doença do Filum?
Faça este teste para receber uma orientação diagnóstica gratuita.


Apesar de serem diferentes entre si, frequentemente, se confunde o diagnóstico de Doença do Filum com os seguintes: o de medula presa por espinha bífida e o de medula presa por espinha bífida oculta .


Fale conosco