Última atualização: 20/03/2026, Dr. Miguel B. Royo Salvador, número de registro médico: 10389. Neurocirurgião e Neurologista.
Definição
Em geral, o termo doença cerebrovascular é usado para descrever um grupo heterogêneo de condições patológicas, cuja característica comum é a disfunção focal do tecido cerebral causada por um desequilíbrio entre a disponibilidade e a necessidade de oxigênio e de outros substratos. Trata-se de uma definição geral deste processo, seja ele agudo, crônico, isquêmico ou hemorrágico.
Em 1987, Hachinski introduziu o conceito de leucoaraiose (do grego leuko = branco, e araios = redução) para se referir a uma alteração nas imagens da Tomografia Computadorizada e da Ressonância Magnética cerebral na substância branca dos hemisférios cerebrais. As lesões podem ser puntiformes, extensas, focais ou difusas. Com este termo, não foi proposta nenhuma correlação clínica ou patológica, apenas foram denominadas imagens anormais relativamente frequentes. Trata-se, portanto, de um termo de neuroimagem descritivo, que pode estar relacionado a diversas situações clínicas e patológicas. Além disso, é um termo heterogêneo, já que inclui diversos tipos de alterações morfológicas.
A substância branca recebe o seu aporte sanguíneo de um complexo sistema de microvascularização cerebral, formado por pequenas arteríolas penetrantes, que surgem das principais artérias cerebrais, formando ângulos retos. Tratam-se de artérias terminais, de grande longitude e de calibre pequeno. Devido a isto, a substância branca ao redor dos ventrículos (periventricular) se transforma em uma região de vascularização limítrofe, o que a torna particularmente suscetível a sofrer lesões por isquemia. O dano sobre estas arteríolas, nas quais se originam o estreitamento e a diminuição da luz arterial, produziria uma diminuição do aporte sanguíneo, que, de maneira crônica, seria a responsável pela presença da leucoaraiose.
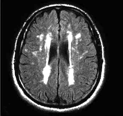
A progressão da leucoaraiose tende a seguir um padrão geral. Inicialmente, se observam as lesões periventriculares em direção à borda dos ventrículos laterais, (Fig.1) se estendendo, conforme a gravidade deste fenômeno, ao redor dos mesmos (Fig.2).
Graus e sintomas
Por se tratar de um conceito descritivo, a Leucoaraiose não implica em sintomas por si só, mas os seus diversos graus, no que se refere à neuroimagem, estão ligados a variados quadros sintomatológicos correlacionados.
Em geral, os sintomas estão relacionados, em certa medida, a qualquer um dos seus graus, podendo corresponder às seguintes manifestações: ictus isquêmico, transtornos cognitivos, claudicação da marcha e alterações anímicas e do controle dos esfíncteres.
Os graus da Leucoaraiose vão de 0 a III:
– os graus 0 e I são leves e sem uma relação reconhecida a sintomas específicos.
– o grau II e, principalmente, o III são graves, pois correspondem aos tipos de leucoaraiose que mais afetam a substância branca do tecido cerebral, danificando ambos os hemisférios cerebrais, com lesões dispersas em regiões amplas do cérebro. Consiste em uma doença que se torna progressiva e que é detectada, sobretudo, em pessoas com algum tipo de transtorno mental e em quem padece de enfermidades relacionadas a danos neurológicos ou com sintomas de demência.
Diagnóstico
Tal como mencionamos, a Leucoaraiose se refere a certas alterações que podem ser detectadas mediante imagens de Tomografia Computadorizada e Ressonância Nuclear cerebral, que consistem nas regiões de hipodensidade ou de hiperintensidade, respectivamente.
Entre as duas, a Imagem por Ressonância Magnética do encéfalo, que inclui sequências ponderadas em T2 e FLAIR, é a técnica mais frequente na avaliação da Leucoaraiose.
A escala qualitativa de Fazekas (Fig.3) é a mais utilizada para determinar a magnitude das lesões da substância branca em IRM, classificando:
– grau 0: com ausência de lesão;
– grau 1: com a existência de lesões focais;
– grau 2: com o começo da confluência de lesões;
– grau 3: com lesões difusas, que compreendem regiões inteiras.
– Segundo o Filum System®:
No nosso Instituto, detectamos frequentemente a presença de imagens de Leucoaraiose da substância branca nas sequências axiais em T2 da Ressonância Magnética, especialmente de grau 1 e, raramente de grau 2, em pacientes diagnosticados de patologias do conjunto da Doença do Filum ou da Síndrome Neuro-crânio-vertebral – ao menos em 45% da nossa base de dados e em todas as faixas de idade-.
Causas
Atualmente, a patogênese da leucoaraiose é controversa.
Alguns autores(as) recordam que ainda não está claro se os mecanismos que produzem os focos puntiformes isquêmicos são os mesmos que geram a leucoaraiose difusa extensa. Além disso, se desconhece se as mudanças patológicas relacionadas são a causa ou a consequência das lesões da substância branca.
As duas hipóteses principais se referem: às anomalias de fluxo de auto-regulação do sangue ou à falha da barreira hemato-encefálica.
O mecanismo de produção mais reconhecido atualmente, quanto à causa da leucoaraiose, é a isquemia crônica por afetação das artérias perfurantes.
A hipertensão arterial e outras patologias que afetam o fluxo sanguíneo e o oxigênio aportados ao cérebro parecem estar estreitamente relacionadas à Leucoaraiose grave.
– Segundo o Filum System®:
Em relação à observação da associação de leucoaraiose e de focos isquêmicos puntiformes, em nível radiológico, em pacientes com a Doença do Filum e Síndrome Neuro-Crânio-Vertebral, consideramos outra hipótese de patogênese: a leucoaraiose poderia também estar relacionada à tração da medula espinhal, exercida por um Filum terminale excessivamente tenso e à isquemia que pode provocar nos tecidos de todo o sistema nervoso ao ocasionar o colapso dos vasos sanguíneos de menor diâmetro.
Fatores de risco
Em geral, por um lado, os fatores de risco reconhecidos para a doença cerebrovascular se referem às características familiares, individuais e o estilo de vida da pessoa diagnosticada da mesma.
Por outro lado, os principais fatores de risco reconhecidos para a presença de Leucoaraiose são a idade e a hipertensão arterial, apesar de que esta patologia também está relacionada a outros, como a Diabetes Mellitus, doenças cardíacas ou as estenoses arteriais, que estariam relacionadas, por sua vez, a alterações na microcirculação cerebral, o que conduz a uma desmielinização de origem vascular, que poderia ser considerada a origem dos focos isquêmicos.
A Leucoaraiose está também relacionada à terceira idade e a quadros de demência senil, apesar de também ter sido detectada em pessoas relativamente jovens, de 40 anos, cujo consumo de drogas – como a heroína, o tabaco e a exposição constante a elementos contaminantes – as tornam propensas a apresentar Leucoaraiose em qualquer uma das suas tipologias. A arteriosclerose é outro dos fatores observados no seu aparecimento.
– Segundo o Filum Systemsup>®:
Em pacientes com imagens de Leucoaraiose na substância branca e relacionadas à Doença do Filum e à Síndrome Neuro-Crânio-Vertebral, podemos observar que um fator de risco comum a estas duas condições corresponde aos antecedentes familiares:
– >A tração caudal produzida por um Filum terminale excessivamente tenso, que definimos como a Doença do Filum, pode ocasionar a falta de irrigação sanguínea na medula espinhal, assim como em todo o sistema nervoso. Trata-se de uma patologia congênita, que pode ser transmitida entre familiares.
Complicações
A Leucoaraiose está relacionada, cada vez mais, à deterioração cognitiva ou a mudanças de comportamento dos(as) pacientes. As manifestações clínicas em relação às funções cognitivas relacionadas vão desde uma afetação leve até o aparecimento da demência, prejudicando, principalmente, a velocidade de processamento cognitivo e das funções executivas.
Tratamento
Geralmente, os tratamentos adequados que são eficazes para deter o avanço da leucoaraiose são diferentes aos recomendados para as doenças relacionadas.
O tratamento mais indicado para estagnar a sua deterioração, sendo a leucoaraiose progressiva uma vez que se apresenta, é manter uma dieta equilibrada; com uma ingestão de alimentos ricos em ácido fólico, folatos e vitaminas do complexo B e evitar substâncias tóxicas e estilos de vida pouco saudáveis.
– Segundo o Filum System®:
Ante o fato de que a Leucoaraiose se apresenta frequentemente em pacientes com a Doença do Filum (DF), a nossa equipe médica realiza o protocolo diagnóstico de Filum System®, em pacientes que tenham RM encefálicas com focos isquêmicos da substância branca. Desta maneira se pode detectar uma possível da Doença do Filum. Quando se confirma uma tração anômala do Filum terminale por DF, se procede o tratamento de secção do Filum terminale (SFT) com uma técnica minimamente invasiva exclusiva. Em vários casos, se observou a diminuição da leucoaraiose posterior à SFT, confirmando ainda mais que uma causa da mesma poderia ser a tração anômala do sistema nervoso.
Referências bibliográficas
- John Conklin, Frank L. Silver, David J. Mikulis, Daniel M. Mandell. Are acute infarcts the cause of leukoaraiosis? Brain mapping for 16 consecutive weeks. Annals of Neurology, 2014; DOI: 10.1002/ana.24285.
- Hachinski V.C., Potter P., Merskey H: Leuko-araiosis, Arch Neurol. 1987; 44: 21-23.
- Revista Habanera de Ciencias Médicas, versión On-line ISSN 1729-519X.Rev haban cienc méd vol.12 no.3 Ciudad de La Habana jul.-set. 2013, CIENCIAS CLÍNICAS Y PATOLÓGICAS.
- Dr. Miguel B. Royo Salvador (1996), Siringomielia, escoliosis y malformación de Arnold-Chiari idiopáticas, etiología común (PDF). REV NEUROL (Barc); 24 (132): 937-959.
- Dr. Miguel B. Royo Salvador (1996), Platibasia, impresión basilar, retroceso odontoideo y kinking del tronco cerebral, etiología común con la siringomielia, escoliosis y malformación de Arnold-Chiari idiopáticas (PDF). REV NEUROL (Barc); 24 (134): 1241-1250
- Dr. Miguel B. Royo Salvador (1997), Nuevo tratamiento quirúrgico para la siringomielia, la escoliosis, la malformación de Arnold-Chiari, el kinking del tronco cerebral, el retroceso odontoideo, la impresión basilar y la platibasia idiopáticas (PDF). REV NEUROL; 25 (140): 523-530
- M. B. Royo-Salvador, J. Solé-Llenas, J. M. Doménech, and R. González-Adrio, (2005) “Results of the section of the filum terminale in 20 patients with syringomyelia, scoliosis and Chiari malformation“.(PDF). Acta Neurochir (Wien) 147: 515–523.
- M. B. Royo-Salvador (2014), “Filum System® Bibliography” (PDF).
- M. B. Royo-Salvador (2014), “Filum System® Guía Breve”.
* Imagem: http://www.radiologyassistant.nl/en/p43dbf6d16f98d/dementia-role-of-mri.html/


