Ultimo aggiornamento: 20/03/2026, Dott. Miguel B. Royo Salvador, nº. Ordine 10389. Neurochirurgo e Neurologo.
Definizione
In generale, malattia cerebrovascolare è una definizione che si usa per descrivere un gruppo eterogeneo di condizioni patologiche, la cui comune caratteristica è la disfunzione focale del tessuto cerebrale, per uno squilibrio tra l’apporto di ossigeno e quanto ne è richiesto, e altri substrati. Definisce il processo in generale, che sia acuto o cronico, ischemico o emorragico.
Nel 1987, Hachinski ha introdotto il concetto di leucoaraiosi (dal greco leuko= bianco, e araiòs= rarefazione) riferendosi ad un’alterazione nelle immagini delle Tomografie Computerizzate e delle Risonanze Magnetiche Nucleari (RM) cerebrali, nella sostanza bianca degli emisferi cerebrali. Le lesioni possono essere puntiformi o più estese, focali o diffuse. Con questo termine l’autore non ha proposto nessuna correlazione clinica o patologica, bensì ha soltanto nominato delle immagini anomale relativamente frequenti. Si tratta pertanto di un termine descrittivo del neuroimaging, che può essere associato a varie situazioni cliniche e patologiche, e che è eterogeneo, dato che si riferisce a diversi tipi di alterazioni morfologiche.
La sostanza bianca riceve il suo nutrimento sanguigno attraverso un complesso sistema di micro-vascolarizzazione cerebrale, formato da piccole arteriole penetranti che sorgono dalle principali arterie cerebrali, formando angoli retti. Si tratta di arterie terminali molto lunghe e di piccole dimensioni. Per questo la sostanza bianca intorno ai ventricoli (periventricolare) si converte in una zona di vascolarizzazione limitrofa, il che la rende particolarmente predisposta a soffrire lesioni da ischemia. La compromissione di queste arteriole, in cui si producono il restringimento e la diminuzione del canale interno, causerebbe una riduzione del nutrimento sanguigno, che, quando cronica, sarebbe la responsabile della presenza di leucoaraiosi.
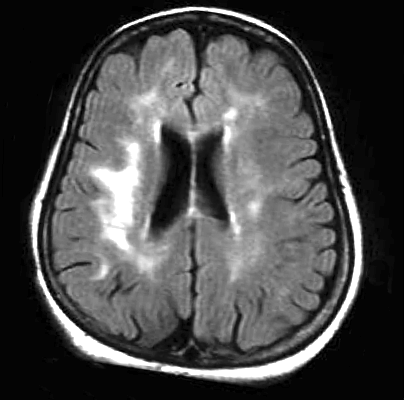
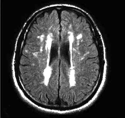
Il progredire della leucoaraiosi tende a seguire un modello generale. Inizialmente si osservano le lesioni periventricolari verso i bordi dei ventricoli laterali (Fig.1), estendendosi queste, in seguito e secondo la gravità del fenomeno, intorno ad essi (Fig.2).
Gradi e sintomi
Trattandosi di un concetto descrittivo, la leucoaraiosi non comporta sintomi in sé, sebbene i suoi diversi gradi di neuroimaging sono associati a vari quadri sintomatologici corrispondenti.
In generale, i sintomi associati in certa misura a qualsiasi grado di leucoaraiosi possono essere: ictus ischemico, disturbi cognitivi, interruzione del cammino, alterazioni dell’umore e degli sfinteri.
I gradi di leucoaraiosi vanno dal grado tipo 0 al III:
– i gradi 0 e I sono lievi e senza una correlazione riconosciuta con sintomi specifici.
– il grado II e molto di più il III sono gravi, sono considerate le leucoaraiosi che causano più lesioni nella sostanza bianca del tessuto cerebrale e in entrambi gli emisferi, disperse in ampie zone del cervello; costituiscono una patologia, che va aumentando progressivamente. Si rilevano soprattutto nelle persone con disturbi mentali e in quelle che soffrono di malattie associate a danni neurologici o con sintomi di demenza.
Diagnosi
Come menzionato, la leucoaraiosi di riferisce ad alcune alterazioni che si possono trovare per mezzo del neuroimaging della Tomografia Assiale Computerizzata (TAC) e della Risonanza Magnetica (RM) cerebrale, che consistono in zone, rispettivamente, d’ipodensità o d’iperintensità.
Tra queste, l’Immagine da RM encefalica (IRM) che include le sequenze ponderate in T2 e FLAIR, è la tecnica più comunemente usata per la valutazione della Leucoaraiosi.
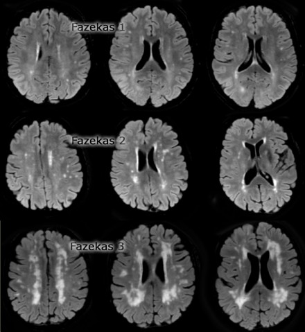
La scala di Fazekas (Fig.3), qualitativa, è la più usata per determinare la dimensione delle lesioni nella sostanza bianca nella IRM, e la sua classificazione è la seguente:
– grado 0: assenza di lesioni;
– grado 1: esistenza di lesioni sotto forma di focolai ischemici;
– grado 2: inizio di confluenza dellle lesioni;
– grado 3: diffusione delle lesioni, che comprende intere regioni.
-Secondo il Filum System®:
Nel nostro centro rileviamo spesso la presenza d’immagini di leucoaraiosi della sostanza bianca cerebrale nelle sequenze assiali di RM in T2, soprattutto di grado 1 e raramente di grado 2, in pazienti con diagnosi di patologie dell’insieme della Malattia del Filum o della Sindrome Neuro-cranio-vertebrale al meno nel 45% della nostra base di dati e in tutte le fasce d’età.
Cause
Attualmente, la patogenesi della Leucoaraiosi è controversa.
Alcuni autori ricordano che tuttavia non è stato chiarito se i meccanismi che producono i focolai ischemici puntiformi sono gli stessi che generano la Leucoaraiosi diffusa e più ampia. Inoltre, s’ignora se le alterazioni patologiche associate sono la causa o la conseguenza delle lesioni della sostanza bianca.
Le due ipotesi principali riguardano: le anomalie del flusso di autoregolazione del sangue o un difetto della barriera ematico-encefalica.
Il meccanismo di produzione più riconosciuto attualmente come causa di leucoaraiosi, è l’ischemia cronica da occlusione delle arterie perforanti.
L’ipertensione arteriosa e altre patologie che influiscono sul flusso sanguigno e sull’apporto di ossigeno al cervello, sembrano strettamente associate alla leucoaraiosi grave.
-Secondo il Filum System®:
Alla luce dell’osservazione dell’associazione tra leucoaraiosi e focolai ischemici puntiformi, a livello radiologico, in pazienti con Malattia del Filum e Sindrome neuro-cranio-vertebrale, nel nostro centro teniamo in considerazione un’altra ipotesi di patogenesi: la leucoaraiosi potrebbe essere correlata alla trazione del midollo spinale, esercitata da un Filum Terminale troppo teso, e con l’ischemia che può provocare nei tessuti di tutto il sistema nervoso, determinando insufficienza circolatoria nei vasi sanguigni di minor diametro.
Fattori di rischio
In generale, da un lato, i fattori di rischio riconosciuti per la malattia cerebrovascolare riguardano le caratteristiche familiari, individuali e lo stile di vita.
Dall’altro, i principali fattori di rischio riconosciuti per la presenza di Leucoaraiosi sono l’età e l’ipertensione arteriosa, anche se è associata ad altri ancora, come il diabete mellito, patologie cardiache o stenosi arteriose, che sarebbero associate ad alterazioni nella microcircolazione cerebrale, il che porta ad una demielinizzazione di origine vascolare che potrebbe essere considerata l’origine dei focolai ischemici.
La leucoaraiosi è anche associata alla terza età e a quadri di demenza senile, anche se si è arrivati a riscontrarla in persone relativamente giovani, sui 40 anni d’età, ma che per consumo di droghe- come eroina, tabacco ed esposizione continua a elementi contaminanti– sembrano propense a presentarla in qualsiasi grado. Anche l’arteriosclerosi è un altro fattore osservato nella sua comparsa.
– Secondo il Filum System®:
Nei pazienti con immagini di leucoaraiosi nella sostanza bianca associate a Malattia del Filum e Sindrome Neuro-cranio-vertebrale, possiamo osservare che un fattore di rischio comune tra queste due condizioni sono gli antecedenti familiari:
– La trazione caudale determinata da un Filum terminale eccessivamente teso, che definiamo Malattia del Filum, può causare il meccanismo di mancanza d’irrigazione sanguigna al midollo spinale, così come a tutto il sistema nervoso. Si tratta di una malattia di tipo congenito, che può essere trasmessa tra famigliari.
Complicazioni
L’entità della leucoaraiosi viene sempre più associata al deterioramento cognitivo o a disturbi del comportamento dei pazienti. Le espressioni cliniche relative alle funzioni cognitive associate vanno da una lieve compromissione delle stesse fino alla comparsa di demenza, e colpiscono fondamentalmente la velocità del processamento cognitivo e delle funzioni esecutive.
Trattamento
Generalmente, i trattamenti opportuni che sembrano efficaci per arrestare il progredire della leucoaraiosi sono diversi da quelli raccomandati per la patologia associata.
Il trattamento più indicato per rallentarne il deterioramento, essendo la leucoaraiosi progressiva, una volta presente, consiste nel mantenere una dieta equilibrata, assumendo alimenti ricchi di acido folico, folato e vitamine del complesso B ed evitando sostanze tossiche e degli stili di vita poco salutari.
– Secondo il Filum System®:
Di fronte al fatto che la leucoaraiosi è frequentemente presente in pazienti colpiti dalla Malattia del Filum (MF), nel nostro centro applichiamo il protocollo diagnostico del Filum System®, in malati con immagini di RM encefaliche con focolai ischemici nella sostanza bianca, per indagare su di una possibile Malattia del Filum. Se si conferma una trazione anomala del Filum terminale per MF, allora si procede al trattamento di sezione del Filum terminale (SFT) con l’esclusiva tecnica mini-invasiva. In vari casi è stata osservata la riduzione della Leucoaraiosi successiva alla SFT, altro dato a favore dell’ipotesi che una causa della stessa potrebbe essere la trazione anomala del sistema nervoso.
Riferimenti bibliografici
- John Conklin, Frank L. Silver, David J. Mikulis, Daniel M. Mandell. Are acute infarcts the cause of leukoaraiosis? Brain mapping for 16 consecutive weeks. Annals of Neurology, 2014; DOI: 10.1002/ana.24285.
- Hachinski V.C., Potter P., Merskey H: Leuko-araiosis, Arch Neurol. 1987; 44: 21-23.
- Revista Habanera de Ciencias Médicas, versión On-line ISSN 1729-519X.Rev haban cienc méd vol.12 no.3 Ciudad de La Habana jul.-set. 2013, CIENCIAS CLÍNICAS Y PATOLÓGICAS.
- Dr. Miguel B. Royo Salvador (1996), Siringomielia, escoliosis y malformación de Arnold-Chiari idiopáticas, etiología común (PDF). REV NEUROL (Barc); 24 (132): 937-959.
- Dr. Miguel B. Royo Salvador (1996), Platibasia, impresión basilar, retroceso odontoideo y kinking del tronco cerebral, etiología común con la siringomielia, escoliosis y malformación de Arnold-Chiari idiopáticas (PDF). REV NEUROL (Barc); 24 (134): 1241-1250
- Dr. Miguel B. Royo Salvador (1997), Nuevo tratamiento quirúrgico para la siringomielia, la escoliosis, la malformación de Arnold-Chiari, el kinking del tronco cerebral, el retroceso odontoideo, la impresión basilar y la platibasia idiopáticas (PDF). REV NEUROL; 25 (140): 523-530
- M. B. Royo-Salvador, J. Solé-Llenas, J. M. Doménech, and R. González-Adrio, (2005) “Results of the section of the filum terminale in 20 patients with syringomyelia, scoliosis and Chiari malformation“.(PDF). Acta Neurochir (Wien) 147: 515–523.
- M. B. Royo-Salvador (2014), “Filum System® Bibliography” (PDF).
- M. B. Royo-Salvador (2014), “Filum System® Guía Breve”.
* La scala di fazekas: http://www.radiologyassistant.nl/en/p43dbf6d16f98d/dementia-role-of-mri.html/


