Dernière actualisation: 19/03/2026, Dr. Miguel B. Royo Salvador, Membre du Conseil de l’Ordre des médecins 10389. Neurochirurgien et Neurologue.
Définition
Le Syndrome d’Arnold Chiari I consiste en une hernie de la partie inférieure du cerveau – les amygdales cérébelleuses – et de la partie inférieure du cervelet par le foramen magnum jusqu’au canal vertébral, sans autre malformation associée dans la moelle épinière. Pour certains, la descente des amygdales cérébelleuses doit être supérieure à 5 mm, pour d’autres de 3mm, pour d’autres elle peut être de 0 mm, pour d’autres les amygdales présentant un tableau clinique compatible.

Figure 1.- Schéma montrant la descente des amygdales et l’augmentation conséquente de l’espace supracérébelleux, lorsque tout le cervelet se dirige vers le canal vertébral, dans le syndrome d’Arnold-Chiari I.
Symptômes
Les symptômes cliniques du syndrome d’Arnold Chiari I (SACHI) peuvent être exprimés sous différentes formes de combinaisons de symptômes, dont les plus fréquents dans notre casuistique sont (de plus en moins présents): maux de tête, cervicalgies, parésies des membres, altération de la vision, douleur des membres, paresthésies, altération de la sensibilité, vertiges, altérations de la déglutition, lombalgies, troubles de la mémoire, altération de la marche, dorsalgie, altération de l’équilibre, dysesthésies, trouble du langage, altération de sphincters, insomnie, vomissements, perte de conscience, tremblement.
Types de syndrome d’Arnold-Chiari

Il existe 4 types classiques (I, II, III, IV) y dos (“0”, “1,5”) qui ont été décrits récemment:
Type I. Descente des amygdales cérébelleuses sans autre malformation du système nerveux (SN).
Type II. Descente des amygdales cérébelleuses avec malformation neurovertébrale pouvant fixer la moelle épinière au canal vertébral.
Type III. Descente des amygdales cérébelleuses avec encéphalocèle occipital et anomalies cérébrales.
Type IV. Descente des amygdales cérébelleuses avec aplasie ou hypoplasie du cervelet associée à une aplasie de la tente du cervelet.
Type “0”. L’existence de cas avec les symptômes cliniques de SACH-I a été actuellement commenté mais sans une descente des amygdales cérébelleuses.
Type “1,5”. Récemment le syndrome d’Arnold Chiari « 1,5 » a été décrit avec une descente des amygdales cérébelleuses et hernie du tronc cérébral dans le foramen magnum.
Cause de la descente des amygdales cérébelleuses: théories
La descente des amygdales cérébelleuses (DAC) peut se produire comme résultat de la traction exercée par les malformations de la moelle épinière associée à certaines formes de syndrome d’Arnold Chiari ; sauf dans le Type I, où la descente des amygdales cérébelleuses est la seule modification morphologique – dans ce cas, il existe plusieurs théories- :
– Théories conventionnelles:
- Hydrodynamique: la descente des amygdales cérébelleuses est la conséquence d’une anomalie de la circulation du LCR
- Malformative: la théorie de la petite fosse crânienne considère que cette malformation incite le cervelet à hernier vers le canal vertébral
– Théories de la traction médullaire, selon le Filum System ®:
La théorie du Dr. Miguel B. Royo Salvador considère la descente des amygdales cérébelleuses dans le syndrome d’Arnold Chiari I, comme la suite d’une traction anormal de la moelle épinière, due à un ligament du Filum Terminale anormal et excessivement tendu (non observable dans les examens complémentaires).

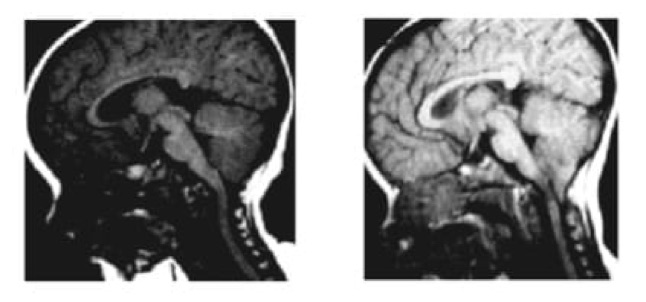
Figure 2.- Résonance magnétique (IRM) d’un patient à 8 et 20 mois, dans laquelle on peut observer un DAC apparu entre les deux IRM. Huang P. « Aquired » Chiari I malformation. J. Neurosurg 1994. Indiquant qu’en plus d’un élément génétique et héréditaire, il existe un facteur acquis.
Facteurs de risque pour le syndrome d’Arnold Chiari I
Les facteurs de risque les plus influents sur le développement du syndrome d’Arnold Chiari I sont les suivants:
- Antécédents de famille: La traction caudale de tout le système nerveux, produite par un Filum terminale excessivement tendu, que nous définissons comme la Maladie du Filum et qui provoque le mécanisme de descente des amygdales cérébelleuses. Il s’agit d’une pathologie de type congénital; qui peut être transmise entre les membres de la famille.
- Augmentation soudaine de la traction de la moelle épinière: Il a été observé qu’après un accident, une chute ou un traumatisme à la colonne vertébrale – avec une moelle épinière ayant déjà la maladie congénitale du Filum, la traction de la moelle épinière peut augmenter. Dans ces circonstances, avec une plus grande traction médullaire caudale ; une aggravation de la descente des amygdales cérébelleuses ou une compression du foramen magnum peuvent être observées à travers les symptômes. L’accident dans ces cas n’est pas la cause de la descente des amygdales, mais déclenche une aggravation soudaine du mécanisme de traction préexistante, à la fois anatomiquement et au niveau des troubles cliniques.
Complications du Syndrome d’Arnold Chiari I
Les complications de l’ectopie des amygdales cérébelleuses peuvent dépendre du degré de traction caudale ou de la compression associée dans le trou occipital. Cette dernière est déterminée par le conflit entre la traction du cordon et du tronc cérébral et l’espace disponible dans le trou.
- Détérioration de la qualité de vie: dans l’Arnold Chiari I, les céphalées, les vertiges, les douleurs dans la colonne ou aux membres, les parésies, les altérations de la déglutition ou de la sensibilité, les altérations cognitives, les altérations visuelles ou de la marche, peuvent arriver à être chroniques, augmentant en intensité et détériorant de plus en plus l’état du malade, limitant son activité normale.
- Douleur chronique: Les patients peuvent avoir besoin d’être traités avec un traitement de la Unité De la Douleur, car les médicaments de premier choix anti-inflammatoires ou antalgiques, risquent de ne pas suffire pour supporter les symptômes de douleur et les crises de céphalées caractéristiques de la maladie.
- Mort subite: due au contrôle des fonctions cardio-respiratoires de la zone du tronc cérébral, là où se trouvent les amygdales cérébelleuses et se développe la compression, les troubles respiratoires pendant le sommeil peuvent constituer un aspect de la pathologie, pouvant s’exprimer en apnées, insuffisance respiratoire ou même la mort subite du patient. D’où l’importance d’un diagnostic et d’un traitement précoce.
Traitement du Syndrome d’Arnold Chiari I
Le traitement conventionnellement accepté pour le Syndrome d’Arnold Chiari I est neurochirurgical.
Actuellement, la craniectomie ou décompression sous-occipitale est le traitement standard utilisé dans la plupart des centres du monde pour ce diagnostic, avec ou sans syringomyélie. Il est généralement indiqué en particulier pour les cas symptomatiques, car il provoque plus de morbidité et de mortalité que l’évolution naturelle de la même pathologie.
Depuis 1993, toutefois, avec la publication de la thèse de doctorat du Dr. Royo Salvador, qui lie la traction caudal de tout le système nerveux par un filum terminale, comme cause de l’ectopie des amygdales cérébelleuses – entre autres maladies – un nouveau traitement a été conçu, qui dans ce cas est étiologique ou quant à la cause, puisqu’en coupant chirurgicalement le filum terminale, la force de traction médullaire caudale responsable du mécanisme pathologique est éliminée.
Notre technique de Section du Filum terminale (SFT) est minimalement invasive et est généralement indiquée dans tous les cas, symptomatiques ou non symptomatiques, et le plus tôt possible car elle comporte des risques minimes et beaucoup plus faibles que ceux de la pathologie elle-même, en plus celle-ci stoppe son évolution.
Section du Filum Terminale minimalement invasive du Filum System®:
Avantages
1. 1. Élimine la cause d’Arnold Chiari I et plusieurs pathologies associées.
2. Élimine la compression dans le foramen magnum et le risque de mort subite.
3. Son application représente 0% de mortalité, sans séquelle dans plus de 1.500 cas opérés avec notre méthode du Filum System®.
4. Avec la technique mini-invasive, le temps chirurgical est de 45 minutes. Quelques heures d’hospitalisation. Anesthésie locale. Postopératoire court et sans limitations.
5. Améliore les symptômes et arrête l’évolution de la descente des amygdales cérébelleuses à travers le trou occipital.
6. Évite l’hydrocéphalie par l’impact des amygdales cérébelleuses.
. Améliore la circulation sanguine à travers le SN et avec lui les facultés cognitives pouvant être affectées par la traction médullaire.
Désavantages
1. Petite plaie au sacrum, avec les possibles complications d’hématome ou infection de la plaie chirurgicale.
2. En cas de spasticité, son amélioration est parfois interprétée à tort comme une diminution de la force.
3. Dans le cas d’altérations des sensations au toucher et de la réception de la douleur, leur amélioration est parfois interprétée à tort comme une gêne.
4. En augmentant l’irrigation du cerveau, l’activité cérébrale augmente et des changements de l’humeur peuvent être observés pendant la première période postopératoire.
Craniectomie sous-occipitale:
(Décompression du foramen magnum ou du trou occipitale)
Avantages
1. Élimine le risque de mort subite.
2. Certains patients s’améliorent cliniquement.
Désavantages
1. N’élimine pas la cause.
2. Du 0,7 au 12% de mortalité, avec un plus grand pourcentage de risque de l’intervention que de la mort subite de la pathologie.
3. Agressive, mutilante et avec des séquelles.
4. Améliore peu l’état du patient, et ce pour une durée limitée (estimée à 10 ans en moyenne).
5. Selon la localisation de la lésion, une même intervention peut provoquer un déficit neurologique : hémiparésie (paralysie de l’hémicorps) de 0,5 à 2,1%. Altération du champ visuel de 0,2 à 1,4%. Trouble du langage de 0,4 à 1%. Déficit sensible de 0,3 à 1%. Instabilité (difficulté pour marcher) de 10 à 30%.
6. Hémorragie intracérébrale postopératoire, à partir du lit chirurgical, péridurale ou intra parenchymateuse, provoquant un déficit
neurologique ou une aggravation d’un déficit préexistant de 0,1 à 5%.
7. Infarctus-œdème, variable selon le processus et la situation, jusqu’à 5%.
8. Infection superficielle de 0,1 à 6,8% profonde ou cérébrale, avec formation d’abcès cérébral, méningite aseptique et septique.
9. Altération hémodynamique due à la manipulation des lésions du tronc cérébral.
10. Embolie gazeuse (patients en position assis chirurgicale).
11. Fistule ou fuite de liquide céphalorachidien de 3 à 14% (fistule du LCR).
12. Hydrocéphalie postopératoire.
13. Pneumocéphale.
14. Tétraparèse (perte de force aux 4 extrémités) par la position chirurgicale, par hasard.
Résultats de la Section du Filum Terminale
Avec la méthode Filum System®, plus de 1,500 patients atteints du Syndrome d’Arnold Chiari I, avec ou sans Syringomyélie idiopathique et/ou Scoliose idiopathique, ont déjà été opérés.
L’intervention chirurgicale a pour but de stopper l’évolution de la maladie et que ni l’ectopie ni les lésions n’augmentent ultérieurement. Cependant, dans certains cas, des améliorations remarquables de l’état clinique ont été obtenues, même avec la remontée des amygdales cérébelleuses.
Exemples:






BIBLIOGRAPHIE
- Dr. Miguel B. Royo Salvador (1996), Siringomielia, escoliosis y malformación de Arnold-Chiari idiopáticas, etiología común (PDF). REV NEUROL (Barc); 24 (132): 937-959.
- Dr. Miguel B. Royo Salvador (1996), Platibasia, impresión basilar, retroceso odontoideo y kinking del tronco cerebral, etiología común con la siringomielia, escoliosis y malformación de Arnold-Chiari idiopáticas (PDF). REV NEUROL (Barc); 24 (134): 1241-1250
- Dr. Miguel B. Royo Salvador (1997), Nuevo tratamiento quirúrgico para la siringomielia, la escoliosis, la malformación de Arnold-Chiari, el kinking del tronco cerebral, el retroceso odontoideo, la impresión basilar y la platibasia idiopáticas (PDF). REV NEUROL; 25 (140): 523-530
- M. B. Royo-Salvador, J. Solé-Llenas, J. M. Doménech, and R. González-Adrio, (2005) « Results of the section of the filum terminale in 20 patients with syringomyelia, scoliosis and Chiari malformation« .(PDF). Acta Neurochir (Wien) 147: 515–523.
- M. B. Royo-Salvador (2014), « Filum System® Bibliography » (PDF).
- M. B. Royo-Salvador (2014), « Filum System® Guide Concis ».
Syndrome d’Arnold Chiari I
Décrit: En 1883 par le chirurgien anatomiste John Cleland (1835-1925) du Perthshire, en Écosse. Il a décrit l’élongation du vermis cérébelleux, la descente du cervelet et du IVᵉ ventricule chez un enfant atteint d’hydrocéphalie, d’encéphalocèle, de spina bifida et de myéloschisis. En 1891 et 1896, Hans Chiari a apporté de nouveaux cas ainsi que sa classification. En 1894, Julius Arnold a contribué à sa diffusion.
Nomination: Par Schwalbe et Gredig en 1907, sous le nom de « malformation d’Arnold-Chiari ». La nomenclature officielle actuelle dans le Code de classification des maladies de l’OMS (International Statistical Classification of Diseases and Related Health Problems, 10th Revision (c) Genève, OMS, 1992) désigne cette affection sous la terminologie de « Syndrome ou maladie d’Arnold-Chiari I » (Q07.0, CIM-10).
Incidence: Un cas pour mille naissances vivantes ; d’autres auteurs rapportent un taux légèrement inférieur à un pour cent de la population. Dans les deux cas, il s’agit de chiffres basés sur des critères actuels très restrictifs, avec un DAC > 3 ou 5 mm.
Maladie du Filum
Après les études du Dr. Royo Salvador (1992) avec sa thèse de doctorat, il a passé de la théorie au fait à l’examen de plusieurs maladies de cause inconnue, telles que: syndrome d’Arnold Chiari I, Syringomyélie et Scoliose Idiopathiques, Platybasie, Impression Basilaire, Rétrocession de l’odontoïde, Angulation du tronc cérébral, font partie – partageant la cause -: la traction de la moelle épinière et de tout le système nerveux, un nouveau concept de pathologie; la Maladie du Filum.
La force de traction de tout le système nerveux dans la Maladie du Filum se produit dans tous les embryons humains, de sorte que, plus ou moins, en subissent les conséquences et se manifestent de nombreuses manières et intensités différentes.
Dans la Maladie du Filum, d’autres maladies telles que les hernies discales, certains syndromes d’insuffisance vasculaire cérébrale, les syndromes des facettes articulaires et de Baastrup, la fibromyalgie, la fatigue chronique, l’énurésie nocturne, l’incontinence urinaire et paraparésies prononcées sont impliquées.
Pour préciser le diagnostic, orienter le traitement et le suivi de la Maladie du Filum, une méthode de santé a été développée: le Filum System®

