最后修改日期:2019年10月24日。罗佑. 萨尔瓦多医生, 医生执照号:10389, 神经外科和神经科医生。
定义
泛指脑部血管的各种疾病,包括脑动脉粥样硬化、血栓形成、狭窄、闭塞、脑动脉炎、脑动脉损伤、脑动脉瘤、颅内血管畸形、脑动静脉瘘等,其共同特点是脑组织的局部功能障碍,引发急性或慢性的缺血或出血性意外。
脑白质疏松症(Leukoaraiosis,LA)是在1987年加拿大神经学家Hachinski提出,leukoaraiosis这一名词由希腊文“leuko”(意为“白色”)和“araiosis”(意为“稀疏”)组成。脑白质疏松症是多种不同病因引起的一组以脑室周围及半卵圆中心区脑白质的弥漫性斑点状或斑片状双侧对称性缺血改变为主的临床综合征,这些改变在CT上为低密度,在MRI图像上为高信号的区域。
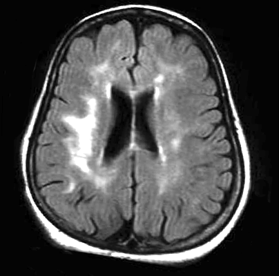
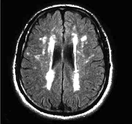
脑白质疏松症的发展有一定的模式,初期我们可以观察到脑室周围病变朝侧脑室边缘发展(如下图1),当问题加重时则呈现图2。
等级和症状
脑白质疏松症本身没有症状,但根据它的严重程度可能会出现缺血性中风、认知障碍、行动问题、括约肌异常等问题。
脑白质疏松症分为4级:
0级和1级:轻级,无任何特定症状。
2级和3级:在脑组织的白质中出现明显损伤,两个大脑半球受到损害,在大脑可见大面积的病灶。
脑白质疏松症是一种渐进性疾病,经常发生在某些患有精神疾病、脑神经损伤疾病或痴呆症状相关疾病的人身上。
诊断
患者可透过头部CT片或是脑部核磁共振来检查诊断疾病。
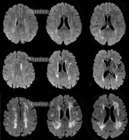
Fazekas等级评分法是目前最常用来诊断脑白质病变和严重的程度。
– 0级: 无病损
– 1级: 存在局灶性病变
– 2级: 出现较大病变
– 3级: 弥散性病变,损伤遍布大脑
根据终丝系统®:
在研究所病例,约45%终丝疾病或神经脑脊柱综合征患者的磁共振片上都可观察到1级脑白质病变影像,偶有2级。
病因
目前,脑白质疏松症的发病机理尚存争议。现主要的两大假设病因为:血液调节系统异常或血脑屏障功能异常。不过目前最被认同的原因是因为穿支动脉问题引起慢性缺血。
高血压和其他影响血液循环,影响血液运氧到大脑的疾病都被认为和重度脑白质疏松症有很大关系。
发病风险
- 家族遗传、个人生活形态。
- 年纪及高血压:高龄和高血压是主要风险,另外糖尿病、心脏病、动脉狭窄或动脉硬化也可能造成脑部缺血性病变。
- 毒品:长期使用海洛因、香烟等也可能造成脑白质疏松症。
- 脊髓牵扯:根据终丝系统研究,终丝疾病和神经脑脊柱综合征患者也容易出现脑白质疏松症,因为终丝牵扯脊髓可能造成脊髓中心血液不流通,影响整个神经系统运作。
影响
越来越多专家将患者的认知障碍或行为改变与脑白质疏松症划上等号。临床上患者可能会出现轻度甚至到失智的情况。
治疗
一般而言,脑白质疏松症的治疗方法与它相关疾病有很大关系,因此治疗方法也会有所不同。
脑白质疏松症是渐行性疾病,延缓它恶化的最佳方法是进行均衡的饮食, 摄入富含叶酸和维生素B群的食物,避免有毒物质和不健康的生活方式。
根据终丝系统®
鉴于终丝疾病患者多有脑白质缺血性影像,我们建议脑白质疏松症患者可检查是否患有终丝疾病。若确诊有终丝牵扯脊髓问题,建议进行终丝切断手术。在我们病例观察,数例脑白质疏松症患者在终丝切断手术后可见脑白质损伤缩小。
参考书目
- John Conklin, Frank L. Silver, David J. Mikulis, Daniel M. Mandell. Are acute infarcts the cause of leukoaraiosis? Brain mapping for 16 consecutive weeks. Annals of Neurology, 2014; DOI: 10.1002/ana.24285.
- Hachinski V.C., Potter P., Merskey H: Leuko-araiosis, Arch Neurol. 1987; 44: 21-23.
- Revista Habanera de Ciencias Médicas, versión On-line ISSN 1729-519X.Rev haban cienc méd vol.12 no.3 Ciudad de La Habana jul.-set. 2013, CIENCIAS CLÍNICAS Y PATOLÓGICAS.
- Dr. Miguel B. Royo Salvador (1996), Siringomielia, escoliosis y malformación de Arnold-Chiari idiopáticas, etiología común (PDF). REV NEUROL (Barc); 24 (132): 937-959.
- Dr. Miguel B. Royo Salvador (1996), Platibasia, impresión basilar, retroceso odontoideo y kinking del tronco cerebral, etiología común con la siringomielia, escoliosis y malformación de Arnold-Chiari idiopáticas (PDF). REV NEUROL (Barc); 24 (134): 1241-1250
- Dr. Miguel B. Royo Salvador (1997), Nuevo tratamiento quirúrgico para la siringomielia, la escoliosis, la malformación de Arnold-Chiari, el kinking del tronco cerebral, el retroceso odontoideo, la impresión basilar y la platibasia idiopáticas (PDF). REV NEUROL; 25 (140): 523-530
- M. B. Royo-Salvador, J. Solé-Llenas, J. M. Doménech, and R. González-Adrio, (2005) “Results of the section of the filum terminale in 20 patients with syringomyelia, scoliosis and Chiari malformation“.(PDF). Acta Neurochir (Wien) 147: 515–523.
- M. B. Royo-Salvador (2014), “Filum System® Bibliography” (PDF).
- M. B. Royo-Salvador (2014), “Filum System® Guía Breve”.


